Saps què és una ecocardiografia amb contraste "SonoVue"? Aquí t'ho expliquem!

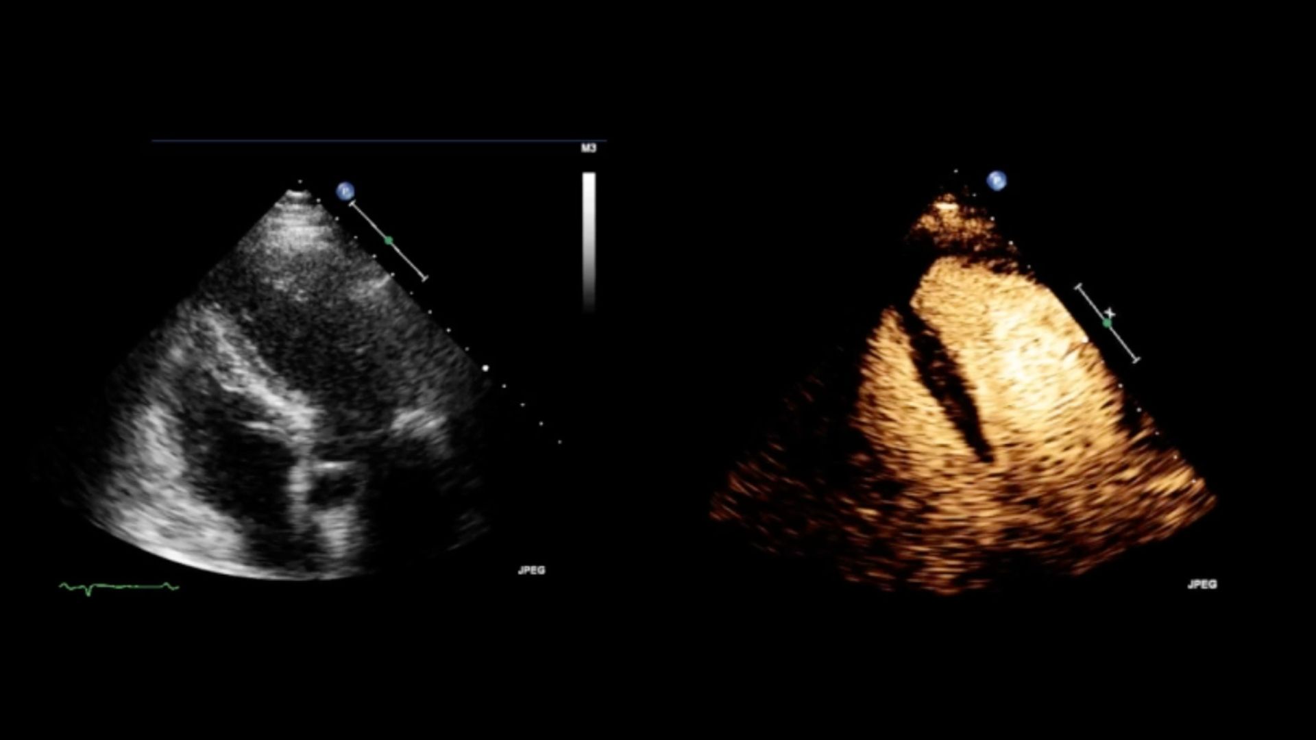
És la realització d’una ecocardiografia amb administració de contrast endovenós a petició del cardiòleg responsable. Aquesta prova permet millorar la qualitat de les imatges per poder interpretar millor l’estudi cardíac.
Per poder administrar el contrast, el personal d’infermeria canalitza un catèter en una vena del braç o de la mà. Una vegada hagi acabat l’estudi, cal romandre uns 15 minuts a la sala d’espera adjunta. Passat aquest temps, si no hi ha hagut cap complicació, es retirarà el catèter i el pacient podrà marxar a casa.

Els efectes secundaris més habituals que poden aparèixer són mal de cap i nàusees. També s’han descrit algunes reaccions adverses, com per exemple: dolor abdominal, toràcic i/o d’esquena, visió borrosa, mareig i reaccions al·lèrgiques, com xoc anafilàctic.
Els efectes secundaris poden ser més greus si es pateix alguna malaltia de base com ara diabetis, problemes respiratoris, al·lèrgies o reaccions al·lèrgiques prèvies, etc. Cal fer-ho saber al personal d’infermeria o al metge per tal de minimitzar els riscs. El metge ja té en consideració les contraindicacions que el Comitè de Medicaments d’Ús Humà va establir per a la utilització de “SonoVue”.

El cardiòleg responsable avalua l’administració de contrast endovenós per poder completar la prova. Tot i que es podria finalitzar l’estudi sense administrar-se “SonoVue”, això implicaria que la informació de la malaltia quedaria reduïda.
Com és un trasplantament de cor i com canvia la vida després de l’operació?En aquest episodi de Veus de Bellvitge, en Lucas Céspedes (21 anys) explica la seva experiència real amb un trasplantament de cor, després de viure amb un desfibril·lador des dels 5 anys i patir set morts sobtades. L’operació es va realitzar a l’Hospital de Bellvitge, centre referent en trasplantament cardíac a Catalunya. Aquest vídeo explica de manera clara i accessible tot el procés del trasplantament de cor , des de la indicació mèdica fins a la recuperació.
Compartir
Totes les claus per facilitar la qualitat de vida de les persones trasplantades
L’infart i l’angina de pit protagonitzen una nova xerrada divulgativa de l’HUB al Prat
Bellvitge redueix a una hora el tractament de l’arrítmia cardíaca més freqüent
L’Hospital de Bellvitge colidera un estudi sobre la reducció del colesterol després d’un infart
Bellvitge, destacat als Ajuts Talents 2024-2025 amb nou professionals guardonats i un padrí de promoció
Prolífica participació de l’HUB en la reunió anual més important de la cardiologia espanyola
La UB i l'Hospital de Bellvitge incorporen simulació avançada a les pràctiques de cardiologia
The New England Journal of Medicine publica una recomanació de l’HUB sobre els xenotrasplantaments
L’Hospital de Bellvitge comparteix la seva expertesa en donació en asistòlia controlada
Estada acadèmica d’estudiants de la Universitat de Monterrey al Campus Bellvitge
L’Hospital de Bellvitge presenta els seus projectes estratègics a la ciutadania
Pacients que inspiren: "Amb la meva mare, compartim un cor nou i una nova vida"
L’Hospital de Bellvitge realitza 38 trasplantaments d’òrgans durant el mes de març
Bellvitge desenvolupa el primer simulador de tots els dispositius d’assistència ventricular
Com entendre la insuficiència cardíaca: una xerrada divulgativa amb el Dr. Comín
Reconeixements i beques a infermeres i metges del Servei de Cardiologia al congrés de la SEC i l’AEEC
Bellvitge consolida la seva implicació amb el model de gestió per processos amb el Lean Day 2024
L’Hospital de Bellvitge coorganitza el curs de cardiologia intervencionista més important d'Espanya
El projecte Psico-DAI de l’Hospital de Bellvitge, cas d’èxit al Congrés Nacional contra la Mort Sobtada
Bellvitge colidera un assaig internacional que pot canviar el tractament de la insuficiència cardíaca
L'HUB, un dels centres de referència a Llatinoamèrica en donació i trasplantament d'òrgans
Els avenços tècnics permeten extreure i preservar més òrgans per a trasplantaments
Els projectes innovadors de la GTMS es donen a conèixer al Mobile World Congress
La Unitat de Cardiopaties Congènites de l’Adult de l’HUB incorpora consultes de casos complexos
L’Àrea de Cardiologia Intervencionista completa el seu disseny interior mirant cap al cel
Primer Bootcamp estatal d’interpretació de variants genètiques per a cardiòlegs
La Unitat d’Arrítmies incorpora una innovadora modalitat de tractament intervencionista
L’Hospital de Bellvitge posa en marxa una innovadora àrea ambulatòria per als pacients cardíacs
L'HUB, designat com a centre referent per a teràpia de destinació amb DAVE a l’Estat
