Descobreix aquí detalls clau sobre la quimioembolització hepàtica.
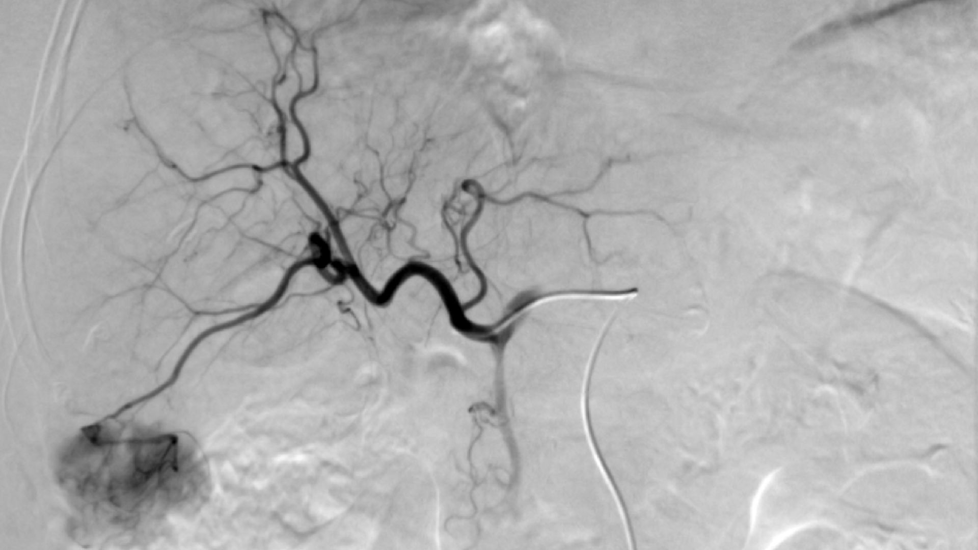
La prova consta d’una punxada en un vas sanguini, generalment a l’engonal. S’aplica anestèsia local i s’introdueix un tub molt prim (catèter), a través del qual s’injecta un líquid (contrast) que permet veure els vasos sanguinis. Mitjançant la circulació s’arriba directament al fetge, on s’administra la quimioteràpia en el tumor hepàtic. Es tapen alguns vasos sanguinis del fetge perquè la medicació hi romangui més temps i aconsegueixi un efecte més gran.
Cal estar en dejú. Es recomana no ingerir cap tipus d’aliment sòlid o líquid des de 8 hores abans de la prova.
No es nota cap dolor durant la intervenció. El procediment es fa amb sedació i anestèsia local a la zona de la punció.
Durant les 24-48 h posteriors pot ser que es notin molèsties a l’estómac i nàusees, que s'han de tractar amb la medicació que convingui.
Un cop acabada la intervenció, es posa un embenat compressiu a l’engonal i es torna a l’habitació. Cal romandre estirat/da al llit 24 hores, fins que retirin l’apòsit. Si tot va bé, s'està ingressat/da a l’hospital entre 24 i 48 hores i, quan el pacient es troba en bones condicions, se li dona l’alta.
És possible que durant les 2-3 setmanes posteriors, el pacient es noti més cansat/da i que tingui una mica de febre, no superior als 38 ºC. En cas que la febre sigui més alta o que es notin calfreds, cal adreçar-se a Urgències.
Al cap d’un mes, es fa una TC per valorar els resultats del tractament.
Les complicacions poden estar relacionades amb:
El mitjà de contrast:
- Reaccions al·lèrgiques lleus com nàusees, picors o lesions a la pell.
- En comptades ocasions, complicacions greus com alteracions dels ronyons.
- Excepcionalment, la mort (1 de cada 100.000 pacients).
L’ exposició als raigs X
En aquesta prova s’utilitzen raigs X que poden tenir efectes nocius en l’organisme. Els beneficis derivats d’aquesta prova compensen aquests efectes i, en qualsevol cas, en compliment de la legislació vigent, s’ha d’utilitzar la dosi mínima que garanteixi els objectius de la intervenció.
La tècnica que s’aplica:
- Pot produir un coàgul (trombe) en el vas que es puncioni.
- Pot provocar un sagnat pel lloc de la punció (hematoma).
- Pot obstruir els vasos en llocs no desitjats, cosa que pot generar complicacions greus i fins i tot la mort.
- Pot provocar infeccions en el lloc de la punció i, excepcionalment, generals.
- Empitjorament de la funció hepàtica.
De tota manera, en cas que es produeixi qualsevol complicació, tots els professionals prendran les mesures necessàries per intentar solucionar-la.
